
〔ホワイトニング症例〕
本症例は、当院にて処方したホワイトニングジェルを使用し、当院と提携しているサロンにて施術を行った症例です。
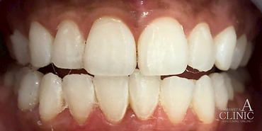
20代女性 5日施術症例
【使用内容】医療用ホワイトニング剤(約10日間分)
【使用回数・期間】約10日間分のうち5日間使用時点/約1か月
【費用】製品代金:17,500円(税込)診療費・送料・手数料:4,400円(税込)※サロン様利用料は含みません。
【副作用・リスク】施術後、一時的に知覚過敏や痛みを感じる場合があります。
※効果には個人差があります。

Before

After
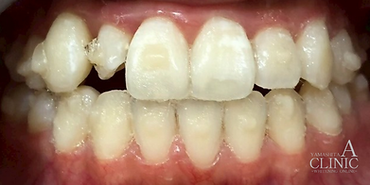
20代女性 10日施術症例
【使用内容】医療用ホワイトニング剤(約10日間分)
【使用回数・期間】約10日間分のうち10日間使用時点/約2か月
【費用】製品代金:17,500円(税込)診療費・送料・手数料:4,400円(税込)※サロン様利用料は含みません。
【副作用・リスク】施術後、一時的に知覚過敏や痛みを感じる場合があります。
※効果には個人差があります。

Before

After
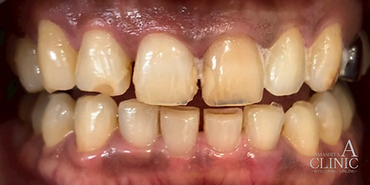
30代女性(補綴物有) 6日施術症例
【使用内容】医療用ホワイトニング剤(約10日間分)
【使用回数・期間】約10日間分のうち6日間使用時点/約1か月
【費用】製品代金:17,500円(税込)診療費・送料・手数料:4,400円(税込)※サロン様利用料は含みません。
【副作用・リスク】施術後、一時的に知覚過敏や痛みを感じる場合があります。
※効果には個人差があります。

Before

After
30代男性 10日施術症例
【使用内容】医療用ホワイトニング剤(約10日間分)
【使用回数・期間】約10日間分のうち10日間使用時点/約2か月
【費用】製品代金:17,500円(税込)診療費・送料・手数料:4,400円(税込)※サロン様利用料は含みません。
【副作用・リスク】施術後、一時的に知覚過敏や痛みを感じる場合があります。
※効果には個人差があります。

Before

After
30代男性 10日施術症例
【使用内容】医療用ホワイトニング剤(約10日間分)
【使用回数・期間】約10日間分のうち10日間使用時点/約2か月
【費用】製品代金:17,500円(税込)診療費・送料・手数料:4,400円(税込)※サロン様利用料は含みません。
【副作用・リスク】施術後、一時的に知覚過敏や痛みを感じる場合があります。
※効果には個人差があります。

Before

After
20代女性(矯正中) 9日施術症例
【使用内容】医療用ホワイトニング剤(約10日間分)
【使用回数・期間】約10日間分のうち9日間使用時点/約2か月
【費用】製品代金:17,500円(税込)診療費・送料・手数料:4,400円(税込)※サロン様利用料は含みません。
【副作用・リスク】施術後、一時的に知覚過敏や痛みを感じる場合があります。
※効果には個人差があります。

Before

After
20代男性 6日施術症例
【使用内容】医療用ホワイトニング剤(約10日間分)
【使用回数・期間】約10日間分のうち6日間使用時点/約1か月
【費用】製品代金:17,500円(税込)診療費・送料・手数料:4,400円(税込)※サロン様利用料は含みません。
【副作用・リスク】施術後、一時的に知覚過敏や痛みを感じる場合があります。
※効果には個人差があります。

Before

After
10代男性 8日施術症例
【使用内容】医療用ホワイトニング剤(約10日間分)
【使用回数・期間】約10日間分のうち8日間使用時点/約2か月
【費用】製品代金:17,500円(税込)診療費・送料・手数料:4,400円(税込)※サロン様利用料は含みません。
【副作用・リスク】施術後、一時的に知覚過敏や痛みを感じる場合があります。
※効果には個人差があります。

Before

After
20代女性 8日施術症例
【使用内容】医療用ホワイトニング剤(約10日間分)
【使用回数・期間】約10日間分のうち8日間使用時点/約2か月
【費用】製品代金:17,500円(税込)診療費・送料・手数料:4,400円(税込)※サロン様利用料は含みません。
【副作用・リスク】施術後、一時的に知覚過敏や痛みを感じる場合があります。
※効果には個人差があります。

Before

After
50代女性(CR有) 5日施術症例
【使用内容】医療用ホワイトニング剤(約10日間分)
【使用回数・期間】約10日間分のうち5日間使用時点/約1か月
【費用】製品代金:17,500円(税込)診療費・送料・手数料:4,400円(税込)※サロン様利用料は含みません。
【副作用・リスク】施術後、一時的に知覚過敏や痛みを感じる場合があります。
※効果には個人差があります。

Before

After
20代女性 7日施術症例
【使用内容】医療用ホワイトニング剤(約10日間分)
【使用回数・期間】約10日間分のうち7日間使用時点/約2か月
【費用】製品代金:17,500円(税込)診療費・送料・手数料:4,400円(税込)※サロン様利用料は含みません。
【副作用・リスク】施術後、一時的に知覚過敏や痛みを感じる場合があります。
※効果には個人差があります。

Before

After
20代男性 8日施術症例
【使用内容】医療用ホワイトニング剤(約10日間分)
【使用回数・期間】約10日間分のうち8日間使用時点/約2か月
【費用】製品代金:17,500円(税込)診療費・送料・手数料:4,400円(税込)※サロン様利用料は含みません。
【副作用・リスク】施術後、一時的に知覚過敏や痛みを感じる場合があります。
※効果には個人差があります。

Before

After
50代男性 7日施術症例
【使用内容】医療用ホワイトニング剤(約10日間分)
【使用回数・期間】約10日間分のうち7日間使用時点/約2か月
【費用】製品代金:17,500円(税込)診療費・送料・手数料:4,400円(税込)※サロン様利用料は含みません。
【副作用・リスク】施術後、一時的に知覚過敏や痛みを感じる場合があります。
※効果には個人差があります。

Before

After
50代男性(咬毛・酸蝕歯・CR有) 5日施術症例
【使用内容】医療用ホワイトニング剤(約10日間分)
【使用回数・期間】約10日間分のうち5日間使用時点/約1か月
【費用】製品代金:17,500円(税込)診療費・送料・手数料:4,400円(税込)※サロン様利用料は含みません。
【副作用・リスク】施術後、一時的に知覚過敏や痛みを感じる場合があります。
※効果には個人差があります。

Before

After
40代男性(喫煙) 7日施術症例
【使用内容】医療用ホワイトニング剤(約10日間分)
【使用回数・期間】約10日間分のうち7日間使用時点/約2か月
【費用】製品代金:17,500円(税込)診療費・送料・手数料:4,400円(税込)※サロン様利用料は含みません。
【副作用・リスク】施術後、一時的に知覚過敏や痛みを感じる場合があります。
※効果には個人差があります。

Before

After
30代男性(喫煙) 8日施術症例
【使用内容】医療用ホワイトニング剤(約10日間分)
【使用回数・期間】約10日間分のうち8日間使用時点/約2か月
【費用】製品代金:17,500円(税込)診療費・送料・手数料:4,400円(税込)※サロン様利用料は含みません。
【副作用・リスク】施術後、一時的に知覚過敏や痛みを感じる場合があります。
※効果には個人差があります。

Before

After
30代男性(補綴物有) 3日施術症例
【使用内容】医療用ホワイトニング剤(約10日間分)
【使用回数・期間】約10日間分のうち3日間使用時点/約1か月
【費用】製品代金:17,500円(税込)診療費・送料・手数料:4,400円(税込)※サロン様利用料は含みません。
【副作用・リスク】施術後、一時的に知覚過敏や痛みを感じる場合があります。
※効果には個人差があります。

Before

After
20代男性 5日施術症例
【使用内容】医療用ホワイトニング剤(約10日間分)
【使用回数・期間】約10日間分のうち5日間使用時点/約1か月
【費用】製品代金:17,500円(税込)診療費・送料・手数料:4,400円(税込)※サロン様利用料は含みません。
【副作用・リスク】施術後、一時的に知覚過敏や痛みを感じる場合があります。
※効果には個人差があります。

Before

After
30代女性 8日施術症例
【使用内容】医療用ホワイトニング剤(約10日間分)
【使用回数・期間】約10日間分のうち8日間使用時点/約2か月
【費用】製品代金:17,500円(税込)診療費・送料・手数料:4,400円(税込)※サロン様利用料は含みません。
【副作用・リスク】施術後、一時的に知覚過敏や痛みを感じる場合があります。
※効果には個人差があります。

Before

After
20代女性 9日施術症例
【使用内容】医療用ホワイトニング剤(約10日間分)
【使用回数・期間】約10日間分のうち9日間使用時点/約2か月
【費用】製品代金:17,500円(税込)診療費・送料・手数料:4,400円(税込)※サロン様利用料は含みません。
【副作用・リスク】施術後、一時的に知覚過敏や痛みを感じる場合があります。
※効果には個人差があります。

Before

After
20代女性 10日施術症例
【使用内容】医療用ホワイトニング剤(約10日間分)
【使用回数・期間】約10日間分のうち10日間使用時点/約2か月
【費用】製品代金:17,500円(税込)診療費・送料・手数料:4,400円(税込)※サロン様利用料は含みません。
【副作用・リスク】施術後、一時的に知覚過敏や痛みを感じる場合があります。
※効果には個人差があります。

Before

After
注意事項
※本症例はあくまで一例であり、施術の効果や経過を保証するものではありません。
効果の現れ方には個人差があり、歯の質・着色の程度・生活習慣等により結果は異なります。
記載内容は医師の診断および指示のもとで行われた症例に基づくものであり、同様の結果をお約束するものではございません。